Home
- La Commissione Europea pubblica orientamenti per il settore dei trasporti dell'UE colpito dalla crisi in Medio Oriente
- FameLab Genova 2026: sul podio due ricercatrici dell'Istituto Italiano di Tecnologia
- Medicina rigenerativa e cellule staminali: nuove prospettive per lo sviluppo di terapie innovative
- Incendi in Italia: i primi dati ISPRA e gli impatti sugli ecosistemi boschivi
- A 50 anni dal terremoto in Friuli: pubblicata una story maps che ripercorre le storie di una comunità tornata a vivere
- Proteine: un team di ricerca dell'Università di Padova analizza le regioni proteiche "senza una forma stabile"
- Milano, spazio pubblico: al via alla riqualificazione di Piazza Gasparri
- ENEA: prende avvio il Programma di Ricerca Nucleare per la sicurezza e l'indipendeza energetica dell'Italia
- Progetto SOMNIIA MONITOR: uno strumento per monitorare il sonno durante le missioni spaziali
- La Cattolica di Piacenza eccellenza globale: ottiene l'accreditamento Association to Advance Collegiate Schools of Business per Economia e Giurisprudenza
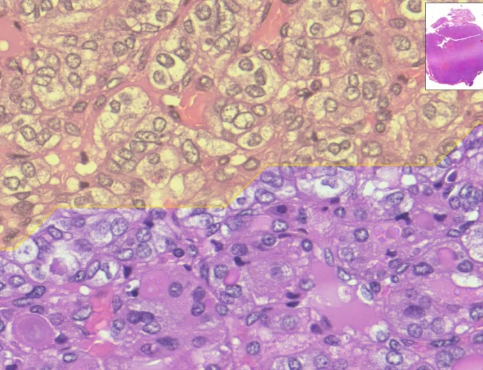
- Predire, prevenire, trattare: al San Gerardo di Monza focus sulla recidiva del tumore del fegato
- Premio Amnesty 24a edizione: da Diodato a Mannoia, ecco i 10 finalisti della sezione Big
- Il progetto "The Papillo Tour": il viaggio che racconta come prevenire le complicanze del Papillomavirus
- L'Unione Europea concorda di semplificare le norme sull'IA al fine di favorire l'innovazione e proteggere i cittadini
- Matrimoni tra clan mafiosi: uno studio dell'Università Milano-Bicocca rivela il loro ruolo strategico
Principali titoli
Francesco Sette: «All’ESRF abbiamo cambiato il modo di vedere la materia, la ...
Jean Daillant: «L’ESRF è una infrastruttura che aiuta l’Europa a produrre con...
Padova inaugura la prima facility italiana OPM-MEG per lo studio del cervello
Monza: al Centro Prelievi Pediatrico l'utilizzo del visore 3.0 per ridurre l'...
Scienza e Tecnologia
Affari e Business
Editoriali
Cultura
AI 24
Edizioni Locali
ZOOM 24
24 minuti
Ultimi post
Visualizza tutti i postLa Commissione Europea pubblica orientamenti per il ...
La Commissione europea ha pubblicato nuove linee guida riguardo carburante, s...
FameLab Genova 2026: sul podio due ricercatrici dell...
Le ricercatrici Letizia Sarchini e Giuliana Orlandini dell'Istituto Italiano ...
Medicina rigenerativa e cellule staminali: nuove pro...
Due studi internazionali nell’ambito del progetto europeo RISEUP, coordinato ...
Incendi in Italia: i primi dati ISPRA e gli impatti ...
Pubblicati i primi dati 2026 dell'ISPRA sugli incendi in Italia, in particola...
A 50 anni dal terremoto in Friuli: pubblicata una st...
L'Istituto Nazionale di Geofisica e Vulcanologia e l'Istituto Nazionale di Oc...
Proteine: un team di ricerca dell'Università di Pado...
Un team di ricerca dell'Università di Padova decifra i meccanismi, finora con...
Milano, spazio pubblico: al via alla riqualificazion...
A Milano da metà maggio prenderanno il via i lavori per la trasformazione str...
ENEA: prende avvio il Programma di Ricerca Nucleare ...
Il Programma di Ricerca Nucleare, attuato da ENEA, con Cnr e Consorzio RFX, p...
Progetto SOMNIIA MONITOR: uno strumento per monitora...
Con il progetto SOMNIIA MONITOR, l'ASI e l'Istituto Italiano di Tecnologia re...
La Cattolica di Piacenza eccellenza globale: ottiene...
L'accreditamento garantisce standard elevati e miglioramento continuo. Proces...
Predire, prevenire, trattare: al San Gerardo di Monz...
Il 13 maggio all'Auditorium Pogliani di Monza esperti da tutta Italia per rip...
Premio Amnesty 24a edizione: da Diodato a Mannoia, e...
A Rovigo dal 24 al 26 luglio la 29° edizione del festival. Il vincitore scelt...
Il progetto "The Papillo Tour": il viaggio che racco...
Al via alla campagna di crowdfunding per il progetto "The Papillo Tour" dell'...
L'Unione Europea concorda di semplificare le norme s...
La Commissione europea ha accolto l’accordo tra Parlamento e Consiglio UE su ...
Matrimoni tra clan mafiosi: uno studio dell'Universi...
Una ricerca dell'Università Milano-Bicocca pubblicata su PLOS One svela che i...
Comune di Milano: l'incontro del Collegio dei Garant...
A Milano, il Collegio dei Garanti del Verde discute temi strategici per la ge...